Оставьте заявку, и наш менеджер ответит на все ваши вопросы!
90+ научных публикаций
Пациенты хотят лечение, которое восстанавливает коллаген и обеспечивает естественный лифтинг, без хирургического вмешательства1-3
50+ клинических исследований
Более 2 миллионов процедур во всём мире
1 единственный аппарат одобренный FDA & сертифицирован в ЕС (Mark CE) как неинвазивный лифтинг2,3
Более 78 стран мира используют Ulthera System
Ultherapy® запускает процесс заживления называемый неоколлагенезом, который начинается с образования точек термической коагуляции (TCPs) которые размещаются на определённых глубинах. 1,7,12,13
Маленькие фокусные точки с повышенной температурой, которые вызывают коагуляцию тканей и сигнализируют о повреждении12
Как TCPs вызывает неоколлагенез?TPCs запускает немедленную реакцию заживления тканей переходящую в постепенное ремоделирование тканей10,14
Синтез коллагена I Типа увеличился в среднем на 26%
Синтез коллагена III Типа увеличился в среднем на 60%
Изменения эластичности кожи : исходный показатель по сравнению с 4, 12 и 24 неделями после однократного лечения MFU-V: (A) чистая эластичность кожи и (B) эластичность после деформирования.
Ulthera – единственная технология с визуализацией в реальном времени
Примеры вариантов структуры кожи между индивидуальными пациентами1,12
Визуализация в реальном времени является основой Ultherapy®
Ultherapy® воздействует на ткани с помощью коллимированного звукового изображения. Затем доставляет микрофокусированный ультразвук с точной глубиной и температурой где лечение будет иметь наибольшее влияние.1,3
Визуализация в реальном времени необходима1,3,7:


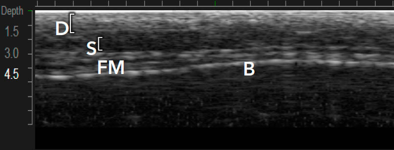
Ultherapy® доставляет энергию на три глубины (1,5, 3,0 и 4,5 мм)1,7
С последовательностью глубины:
Без последовательности глубины:
Ultherapy® постоянно достигает оптимальной температуры 60-70°C для инициирования неоколллагенеза1,5
При температуре ~65°C начинается разрушение внутренних поперечных связей, что приводит к денатурации коллагена 22
Фибриллы коллагена, при нагревании до определённой температуры в течение определённого периода времени – сжимаются, т.к. внутримолекулярные водородные связи в структуре коллагена разрываются13,23
Ultherapy® признана группой экспертов, как ключевая основа эстетического лечения и Золотым Стандартом безоперационного лифтинга и уплотнения кожи.1
MFU-V позволяет врачам точно видеть и учитывать все анатомические особенности в индивидуальном плане лечения, который будет являться эффективным.1
Ultherapy® признана Золотым Стандартом:
Благодаря популярности процедуры Альтера-терапии некоторые мед.клиники предлагают под видом аппарата Альтера Систем (Ulthera® System) и процедуры Альтера-терапии услугу, которая не имеет к ним никакого отношения.
Мы создали сайт, где ваши пациенты могут убедиться в подлинности Вашего аппарата.
Ulthera (Ultherapy) - это аппарат, созданный для безоперационного SMAS-лифтинга, работающий за счёт микрофокусированного ультразвука. Это единственный аппарат с визуализацией в реальном времени, что обеспечивает точность и безопасность процедуры.

Мы предлагаем воспользоваться эксклюзивной программой кредитования от Academy of Advanced Aesthetic и финансового партнера «Активитис» только для клиентов ААА на покупку оборудования сроком на 24 месяца и без обязательного первого взноса.
Оставляйте заявку для получения консультации Рассчитать окупаемость Подробнее о кредитованииСообщить о нежелательном явление можно по тел: +380504634444, или на электронный адрес: info@aaa.ua