Залиште заявку, і наш менеджер відповість на всі ваші питання!
90+ наукових публікацій
Пацієнти хочуть лікування, яке відновлює колаген і забезпечує природний ліфтинг, без хірургічного втручання1-3
50+ клінічних досліджень
Понад 2 мільйони процедур у всьому світі
1 єдиний апарат схвалений FDA & сертифікований в ЄС (Mark CE) як неінвазивний ліфтинг2,3
Понад 78 країн світу використовують Ulthera System
Ultherapy® запускає процес загоєння, який називається неоколагенезом, що починається з утворення точок термічної коагуляції (TCPs), які розміщуються на певних глибинах. 1,7,12,13
Маленькі фокусні точки з підвищеною температурою, що викликають коагуляцію тканин і сигналізують про пошкодження 12
Як TCPs викликає неоколагенез?TPCs запускає негайну реакцію загоєння тканин, що переходить у поступове ремоделювання тканин 10,14
Синтез колагену I Типу збільшився в середньому на 26%.
Синтез колагену III Типу збільшився в середньому на 60%
Зміни еластичності шкіри: вихідний показник порівняно з 4, 12 та 24 тижнями після одноразового лікування MFU-V: (A) чиста еластичність шкіри та (B) еластичність після деформування.

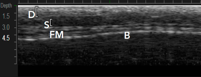
Ulthera - єдина технологія з візуалізацією в реальному часі
Приклади варіантів структури шкіри між індивідуальними пацієнтами 1,12
Візуалізація в реальному часі є основою Ultherapy®
Ultherapy® впливає на тканини за допомогою колімованого звукового зображення. Потім доставляє мікрофокусований ультразвук з точною глибиною і температурою, де лікування матиме найбільший вплив.1,3
Візуалізація в реальному часі необхідна 1,3,7 :



Ultherapy® доставляє енергію на три глибини (1,5, 3,0 та 4,5 мм) 1,7
З послідовністю глибини:
Без послідовності глибини:
Ultherapy® постійно досягає оптимальної температури 60-70°C для ініціювання неоколлагенеза1,5
За температури ~65°C починається руйнування внутрішніх поперечних зв'язків, що призводить до денатурації колагену 22
Фібрили колагену під час нагрівання до певної температури протягом певного періоду часу стискаються, тому що внутрішньомолекулярні водневі зв'язки в структурі колагену розриваються13,23
Ultherapy® визнана групою експертів, як ключова основа естетичного лікування і Золотим Стандартом безопераційного ліфтингу та ущільнення шкіри.1
MFU-V дає змогу лікарям точно бачити і враховувати всі анатомічні особливості в індивідуальному плані лікування, який буде ефективним.1
Ultherapy® визнана Золотим Стандартом:
Завдяки популярності процедури Альтера-терапії деякі медичні клініки пропонують під виглядом апарату Альтера Систем (Ulthera® System) та процедури Альтера-терапії послугу, яка не має до них жодного відношення.
Ми створили сайт, де ваші пацієнти можуть переконатись у справжності Вашого апарату.
Ulthera (Ultherapy) - це апарат, який створений для безопераційного SMAS-ліфтингу та працює за рахунок мікросфокусованого ультразвуку для омолодження та підтяжки шкіри. Це єдиний апарат для SMAS-ліфтингу, який має візуалізацію в реальному часі, що гарантує точність та безпечність проведення процедури.

Ми пропонуємо скористатися ексклюзивною програмою кредитування від Academy of Advanced Aesthetic та фінансового партнера «Активітіс» тільки для клієнтів ААА на покупку обладнання терміном на 24 місяці та без обов'язкового першого внеску.
Залишайте заявку для отримання консультації Розрахувати окупність Докладніше про кредитуванняПовідомити про небажане явище можна за тел: +380504634444 або на електронну адресу: info@aaa.ua